La canulación venosa central es un procedimiento habitual que facilita la reanimación, el apoyo nutricional y el acceso vascular a largo plazo. Un conocimiento preciso de la anatomía superficial y profunda facilitará la elección de la vía a canalizar, reduciendo, a su vez, posibles complicaciones.
Existen varios factores que pueden intervenir en el éxito de la canalización, entre los que se incluye la experiencia del profesional que la realiza y el tiempo que se disponga para ello (canalización urgente vs programada).
No obstante, existe un protocolo que ha sido específicamente estudiado en niños: Protocolo RaCeVa (Rapid Central Vein Assessment).
Este protocolo permite realizar una evaluación rápida del capital venoso central, para ello, se centra en la evaluación del tamaño, permeabilidad, variación respiratoria del calibre y proximidad con la arteria, pleura u otras estructuras de riesgo de las siguientes venas:
- Yugular interna derecha.
- Subclavia y braquiocefálica por abordaje supraclavicular.
- Subclavia por abordaje infraclavicular.
- Femoral.
- Umbilical.
Pese a que en general se suele optar por una canalización de la vena yugular interna debido a una mayor experiencia y una evidencia científica más contundente en el adulto, dicha extrapolación no siempre es aplicable en pediatría debido a una serie de peculiaridades propias de la población pediátrica:
- Menor calibre de los vasos.
- Mayor proximidad de estructuras.
- Colapso con la respiración o mínima presión.
Es por ello, que hoy en día no existe una recomendación clara sobre cuál es el acceso de elección en niños. Por esta razón, se recomienda una exploración lo más exhausta posible y valoración de aquellos accesos más aptos para nuestro paciente, siempre basados en las características intrínsecas del paciente y en la evidencia científica sobre la población infantil.
Descripción técnica
La canalización venosa central siempre debe ser ecoguiada, de esta forma reduciremos la incidencia de complicaciones.
Para realizar el escaneo de la zona debemos:
- Lubricar la sonda ecográfica lineal.
- Adecuar la ganancia y profundidad en función de las características del paciente para conseguir la imagen de mayor calidad.
- Uso de las referencias anatómicas para facilitar a localización.

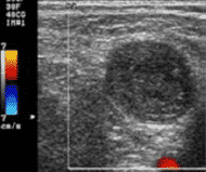
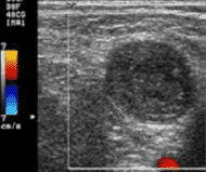
Arteria vs vena
Una de las complicaciones más importantes y peligrosas del cateterismo venoso central es la punción arterial involuntaria. Cuando se produce, son múltiples las complicaciones con las que podemos encontrarnos, entre las que se incluyen desde hematomas hasta hemotórax o taponamiento cardíaco.
Por ello, de entre los aspectos a explorar en nuestro escaneo uno de los primeros debe ser diferenciar las arterias de las venas, crucial para evitar una punción accidental de la arteria. Además, es importante analizar la relación con respecto a la vena e intentar canalizarla en aquella posición donde se encuentre más alejada de la arteria.
Arteria
A grandes rasgos, la arteria (en modo ecográfico 2D) suele poseer una forma más circunferencial, con paredes más gruesas, resultan menos compresibles que las venas y son pulsátiles. No obstante, en los niños pueden llegar a comprimirse igual que las venas por lo que no es un criterio exclusivo para identificarlas.
Vena
En lo que a las características de las venas se refiere, estas suelen poseer una forma más ovalada, generalmente de mayor tamaño que las arterias. La mayoría de ellas suelen variar su tamaño con la respiración. Además, aunque sea más propio de las arterias, en los niños, especialmente en aquellos más pequeños, pueden aparecer como imagen pulsátil por transmisión desde la arteria, por lo que la pulsatilidad no es criterio identificativo.
¿Cómo diferenciarlas?
En el caso de existir dudas, el método más fiable para diferenciarlas seria la realización de un Doppler pulsado donde las venas se representan como una onda bifásica y a veces una retrograda de baja velocidad; mientras que la arteria presenta un flujo fundamentalmente sistólico de alta velocidad.
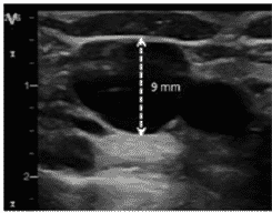
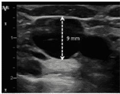
Determinar el calibre de la vena
La determinación del calibre es esencial, no solo porque aumenta la probabilidad de punción única exitosa, sino también porque el calibre determinará el tamaño del catéter.
En líneas generales, la mayoría de las guías recomiendan que el catéter no tenga un grosor mayor de 1/3 del diámetro de la vena (1 French equivale a 0.33 mm) para prevenir el riesgo de trombosis.
Para determinar el calibre se empleará el modo 2D y la función “regla”, “diámetro” o su equivalente según le modelo de ecógrafo. Una vez en este modo, el operador se dispondrá a colocar el cursor en la parte superior y medial de la pared de la vena; posteriormente trazará una línea recta hasta llegar al borde opuesto de la pared, obteniéndose, así, el diámetro antero- posterior.


Detección de trombos y hematomas
La detección trombos y hematomas previos y posteriores a la canalización, evita realizar punciones sobre vasos ya dañados y optar por otros más adecuados y normo funcionantes.
En lo que a la técnica se refiere, también se utiliza la sonda lineal de alta frecuencia. En este caso es preferible el uso de Doppler a color, útil también para determinar permeabilidad, aunque también puede emplearse el modo 2D.
La ventaja de contar con Doppler a color es que este modo aporta información sobre la existencia y movimiento del flujo sanguíneo, siendo posible localizar regiones con flujo anormal. Queda representado de la siguiente forma:
- Color rojo: flujo que se acerca al transductor.
- Color azul: flujo que se aleja del transductor.
En la detección de trombos se puede observar una imagen ecogénica heterogénea que ocupa total o parcialmente la luz venosa y se considera un signo prácticamente patognomónico la imposibilidad de comprimir la luz vascular por completo. Además, si utilizamos Doppler a color aplicado sobre la luz vascular se apreciará ausencia de flujo o algún defecto de repleción.
Los hematomas dan una imagen similar a la del trombo, pero se encontrarán ubicados por fuera del vaso, pudiendo llegar a comprimirlo o desplazarlo.

Es importante tener en cuenta estas consideraciones antes de proceder a la canalización venosa central, ya que evitará posibles complicaciones.

Para conocer más sobre la técnica de canalización venosa central ecoguiada en pediatría, matricúlate en el curso impartido por el Dr. Paco Escribà. Para ello, solo tienes que hacer clic aquí o en el banner anterior.
Te puede interesar:
- FUNDAMENTOS DEL ACCESO VASCULAR ECOGUIADO
- CANALIZACIÓN ARTERIAL ECOGUIADA EN 6 PASOS
- 8 COMPLICACIONES QUE PODEMOS ENCONTRARNOS DURANTE LA CANALIZACIÓN ARTERIAL
- ¿QUÉ HACER SI ME QUEDO SIN LUCES EN EL CATÉTER?
- 4 RIESGOS EN EL USO DE RAMPAS
- 6 COMPLICACIONES IMPORTANTES EN LA COLOCACIÓN DE VÍAS CENTRALES





Muy buenas técnicas